大阪府高槻市紺屋町6−19 片岡ビル 3F

9:00~13:00/14:00~18:00 日曜休診/木・土隔週休診

TEL: 072-682-8188

日本歯周病学会歯周病専門医が
歯の治療を行う歯科医院です。

日本歯周病学会歯周病専門医と認定医の両資格を持つ歯科医師・歯医者が治療にあたるのは高槻市では片岡歯科紺屋町診療所が唯一です。
titile0001.jpg titile0002.jpg titile0004.jpg titile0003.jpg
片岡歯科紺屋町診療所 大阪府高槻市紺屋町6−19 片岡ビル 3F  9:00-13:00/14:00-18:00 日曜休診/木・土隔週休診 TEL: 072-682-8188

総合的な治療

お口の中全体を治療した治療例です

歯周病治療やインプラント治療などでお口の中全体を治療した治療例のご案内です。
 

治療例

部分矯正を含めた全顎的な治療

 

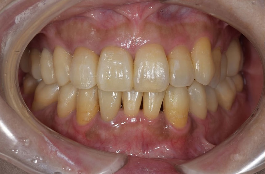
前歯の治療前後
sougou001a.jpg sougou001b.jpg

右奥歯の治療前後
sougou002a.jpg sougou002b.jpg

左奥歯の治療前後
sougou003a.jpg sougou003b.jpg

上の歯の治療前後
sougou004a.jpg sougou004b.jpg  

下の歯の治療前後
sougou005a.jpg ougou005b.jpg  
 

最小限の矯正治療や過去に治療した銀歯の隙間から虫歯になった歯や神経の再治療を行いました。もう少し修正が必要なのですが、部分矯正も含め長い治療になり、とりあえずはお疲れさまでした。

治療は、僕たちは当然ですが、患者さんにも頑張って頂いて初めてうまくいくものかなとも思います。定期的に通院していただいたり、治療が間延びしないことも治療がうまくいく要因の一つのように感じます。
 
治療が終了して終わりではなく、維持するためこれからメンテナンスが、始まると思っていただければ幸いです。現状が、できるだけ長期に維持できればと考えています。

治療例

かみ合わせが崩れてしまった場合

治療前のかみ合わせのままで治療しても長持ちしないこと、本来のかみ合わせから崩れてしまっていると判断し、お口の中を総合的に治療する治療方法を提案させていただき治療を行いました。

総合的な歯科治療

治療前
総合的な歯科治療

治療後

咬むと前歯が痛いと来院された患者さん。奥歯がないため、前歯に負担がかかり、下の歯がないまま放置していたため、上の歯が下に下がってしまうなど様々な問題をお口の中に抱えていました。
 
治療前のかみ合わせのままで治療しても長持ちしないこと、本来のかみ合わせから崩れてしまっていると判断し、お口の中を総合的に治療する治療方法を提案させていただき治療を行いました。
 
残すことが出来ない歯の抜歯などを行うと、すれ違い咬合という治療するには難しいかみ合わせであったことなど、仮の入れ歯などで咬合状態の経過観察などを行ったため治療期間は約2年ほどかかりました。
 
治療の内容にもよりますが、しっかり診断し治療を行っていくとどうしても治療期間がかかってしまいます。患者さんにはその点ご理解いただけると幸いです。

治療例

某病院の歯科口腔外科より紹介され、当院受診。

治療前から治療後

085.jpg 086.jpg
治療前レントゲン
総合的な歯の治療例

治療後レントゲン
治療後レントゲン

奥歯をインプラントにて治療し、よく噛めるようにしました。また、虫歯や歯の根の治療のやり直しを行いセラミックにて審美的に修復しました。

105.jpg 106.jpg

どんな治療にもメリット・デメリットがあります。患者さんの年齢や口腔内の状態、さまざまな要因で、治療のメリット・デメリットの大きさは、変わってきます。患者さんの状態によって、受ける治療のメリット・デメリットは異なるので、治療を受ける際は、よく説明を受けられてからの方が、安心して治療を受けることが出来るかなと思います。
 
インプラントや入れ歯、ブリッジもそれぞれメリット・デメリットがあります。
なかなか難しいのですが、それぞれの患者さんに、ベストの治療法が提案できればなと思います。

HOME | 歯の治療例 | 総合的な治療